- Brain, Spine & Beyond
- Posts
- The Complexity of Malignant Glioma Treatment
The Complexity of Malignant Glioma Treatment
BSB Beyond The Headlines
Molecular Features of Glioma
How much do you know about the features of Glioma? Click the link to watch.
Deep Dive
The Complexity of Malignant Glioma Treatment
This article focuses on the multifaceted and deeply challenging aspect of modern oncology: the treatment of malignant gliomas, particularly glioblastoma. It unravels how the tumor’s microenvironment, cellular adaptability, and intricate interactions with immune cells and the brain itself make therapy not only difficult but elusive. Rather than proposing a single silver bullet, it examines a layered treatment model targeting several dynamic “hallmarks” of cancer through repurposed drugs, immunotherapies, and precision strategies tailored to each patient.
But as this complex puzzle unfolds with aggressive tumors, stealthy stem-like cells, and a battlefield of immune evasion, one can’t help but ask: what if the very brain that harbors the tumor holds the key to its destruction?
|
Your Neuro Take
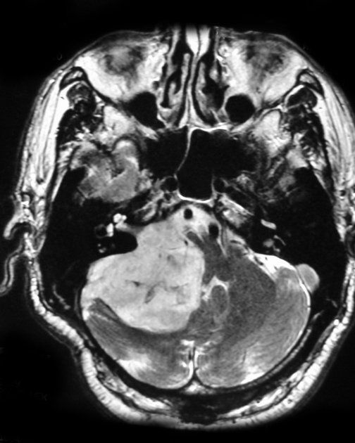
Diagnostic Doctor 🩺
So how would you treat this Doc? Follow us on LinkedIn for more.
Neuro Nuggets
Hemi Cord Syndrome
Want to find out more about Hemi Cord Syndrome? Click here to find out.
20/Now you know all the incomplete spinal cord syndromes and the jumping jack man anatomy behind them.
So while you may never love them—at least you will always remember them!
— Lea Alhilali, MD (@teachplaygrub)
2:02 PM • Jun 27, 2025
Neuro Calendar
29th Annual Meeting of the Society for Behavioral Neuroendocrinology
Click below to join the 29th Annual Meeting of the Society for Behavioral Neuroendocrinology in British Columbia, 13th -16th July, 2025
Pavlovian Society, 2025
Click below to join the Pavlovian Society in Sydney, 7th -10th August, 2025
Frontiers in Innovation and Market
Spine Surgery Market Set to Surge
The global minimally invasive spine surgery market is set to nearly double, reaching $4.8 billion by 2033, driven by tech innovation, ageing populations, and rising outpatient procedures.
But with growth accelerating, who will lead the race to reshape the future of spine care?
Beyond
Dealing with Difficult People
Difficult people may charm but still harm. Stay alert, expect patterns, stay calm, and set firm boundaries.
But what if cutting ties is the only way to heal?


